Regina's Dreams Are Coming True!
Winner of Dear Doctor's Ultimate Smile Makeover
![]() |
We are very pleased to announce our fifth contest winner, Ms. Regina Whigham of Cincinnati, Ohio. Regina is a Dear Doctor reader who has long wished for a beautiful smile despite numerous, significant dental problems.
“It’s just so amazing for something like this to happen to me,” said Regina, who broke down and cried when she heard the news. “I feel so self-conscious. I smile with a closed mouth. I’m so thankful for this contest. There is no other contest out there like this.”
![]() |
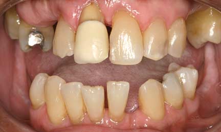
| Before Treatment |
Of course we wouldn’t be able to offer such an inspiring, life-changing opportunity to our readers without the help of our Dear Doctor participating dentists and our generous sponsors. Our doctors are deeply committed to helping people in their communities and this contest is a great way for them to accomplish that goal. Our commercial sponsors are also dedicated to improving oral health. BioHorizons will be supplying dental implants and Nimbus Dental will be donating oral hygiene products. The Greater Cincinnati Dental Lab will provide the dental restorations for Regina. Please take note of them and their services because it is their commitment to oral health that allows us to provide this extraordinary service to people in need. We are truly grateful for their continued support.
Planning for Regina’s makeover is already underway. She has had a thorough examination by Dear Doctor’s affiliated experts Dr. Warren Gase and Dr. Neal Lemmerman in Ohio. They have carefully reviewed her photographs, x-rays, medical history and other records. This talented duo has determined that Regina’s treatment will include periodontal (gum) treatment, dental implants to replace her upper teeth as well as many lower back teeth. Highlights include cosmetic and restorative dentistry to create a beautiful smile. Regina has many missing and hopelessly damaged teeth, so implant dentistry will be critical to returning her mouth to full health and aesthetics. Dr. Gase will provide the restorative and cosmetic solutions while Dr. Lemmerman will contribute the periodontal and surgical implant expertise. As an important part of the healthcare team, the outstanding Greater Cincinnati Dental Lab will create the restorations under Dr. Gase’s direction.
We look forward to revealing more about Regina’s exciting transformation in future issues of Dear Doctor.
Regina's Smile Makeover Team
Dr. Warren Gase – Cosmetic Dentist
Dr. Warren Gase is a highly trained and experienced practitioner of general and cosmetic dentistry in Cincinnati, Ohio. He graduated from the University of Michigan School of Dentistry in 1984 and has received advanced training from the Dawson Center for Advanced Dental Studies in Florida and the University of Minnesota Dental School's Post Graduate Program in Esthetic Dentistry. In 2004, he was named one of the “Best Dentists in America,” by Woodward/White, Inc. Dr. Gase has been awarded a Mastership in the Academy of General Dentistry and is a Sustaining Member in the American Academy of Cosmetic Dentistry. He also belongs to the American Academy of Dental Sleep Medicine, the American Dental Association, and the Ohio Dental Association.
Dr. Neal Lemmerman – Periodontist
Dr. Neal Lemmerman of Lemmerman Periodontics in Forest Park and West Chester, Ohio, is a specialist and educator in the field of periodontics with expertise in dental implants and common TMJ disorders. Dr. Lemmerman completed his dental and periodontal training at the University of Kentucky College of Dentistry. He is a Diplomate of the American Board of Periodontology, cofounder of the Cincinnati Dental Implant Study Club, and recently served as program chairman for the Keely Dental Society. In addition to maintaining a full-time private practice, he has been president of the Greater Cincinnati Dental Study Club and is currently on the teaching faculty at University Hospital.
Learn More or Enter Today!
Learn more or enter our latest Ultimate Smile Makeover.



