Dental Implant Aesthetics
How your personal biology influences dental implant aesthetics
Dear Doctor,
I am about to have a front tooth replaced. My dentist indicated that it would be challenging especially since I smile widely. Why is it difficult for implants in this area of the mouth to do well? What can be done to ensure success?
Dear Ellen,
Thanks for bringing up this issue which is important to all dentists who are trying to make implant crowns look as natural as possible, especially where they show in what dentists acknowledge as the “Smile or Aesthetic Zone.”
In the front of the mouth, especially for upper teeth, and in a case like yours, where the gum line shows at “full smile,” it is indeed more challenging to make the implant and crown connected to it look lifelike. Here are a few of the reasons;
Very often, provisional crowns are fitted before a final crown is made, so that different crown shapes can be tried that look, feel and function correctly.
Firstly, in order to place an implant successfully (the root replacement for a tooth), there has to be enough bone to “anchor” it, somewhat like having enough of a cone in which to place the ice cream. Like ice cream, bone tends to melt away when a natural tooth root is removed. In addition there needs to be sufficient bone attached to the adjacent teeth, because it is the bone levels on the adjacent teeth that support the “papillae,” the little triangles of gum tissue that fill the spaces between the teeth. If that bone is lost on the adjacent teeth, there is no guarantee that the papillae will regenerate, or simply put, come back. It becomes even more difficult if two adjacent teeth are missing and need to be replaced, in which case another alternative to implants, such as bridgework may be a better option.
![]() |
| Figure 1: An example of a “gold abutment” that takes advantage of modern implant technology (hidden beneath the gum) which stabilizes the result for maximum “smile” benefit. |
![]() |
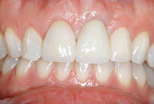
| Figure 2: A beautiful cosmetic result where the implant crown is as beautiful as the crowns on the natural teeth. |
| Photos provided by Precision Craft Dental Laboratory |
The position of the implant and how the crown emerges from the gum tissue is another factor which needs to be considered carefully. Thicker gum tissue types are also easier to work with than thinner types, as they are more forgiving and hide more.
Very often, provisional crowns are fitted before a final crown is made, so that different crown shapes can be tried that look, feel and function correctly. The degree to which the implant is submerged beneath the gum is also important to allow this effect.
More recently the design of the head or top of the implants have been changed to both maximize and help further stabilize the bone and gum tissues around them for aesthetic reasons [Figure 1]. The technical term for this is “platform switching” which changes the biological orientation of the tissues from vertical to horizontal. This is not to blind you with science, but more to let you know that the profession is making every endeavor to make tooth replacement with implants as successful and predictable for the long term use as possible [Figure 2].
As with most issues in dentistry, careful assessment of your individual situation is critical to planning and management guaranteeing as good a result as possible. It is also important to know that people are biological systems, not machines, so although it's possible to replace parts like teeth with implants, we rely on healing to do the rest, which means that end results are not always as predictable as we would like. Before any procedure, you are strongly advised to review with your dentist all the risks, benefits and alternatives available to you.



